Insémination

 

Ovaire: Chaleurs

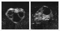
Durant les chaleurs, le follicule atteint sa taille maximale en peu de temps. Son diamètre atteint 1.5 à 2 cm. Il y a un liquide qui entoure l’ovule dans le follicule. Il est tout à fait possible que le corps jaune (corpus luteum) du cycle précédent soit encore présent. Il peut se trouver sur le même ovaire que le follicule ou sur l’autre.
Exceptionnellement, deux follicules peuvent croître en même temps. Il est possible que les 2 follicules soient sur le même ovaire ou alors il y a un follicule sur chacun des ovaires. Il en résulte des jumeaux dizygotes (faux jumeaux). De vrais jumeaux voient le jour lorsque l’ovule fécondé se divise à un stade précoce de développement.